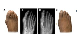
What is a Pseudo Bunion.? This results when the orthopedic surgeon decides to do their type of minimal incision surgery. They use these large screws. This results in a bony deformity in the back. Which then grows into a bony growth. Now you will have 2 bunions for the price of 1. Stay away from these doctors that perform these types of procedures. These procedures are performed in the hospital and under general anesthesia.
At the Comprehensive Foot and Ankle Institute, we perform corrective bunion procedure with the True Minimal Incision type of surgery. This involves performing a corrective surgery without the use of any internal hardware such as screws and plates. With our regenerative medicine and minimal incision type surgery we can perform these procedures in the office.
It is your choice whether you would like to have these orthopedic internal hardware in your foot, or to have your bones corrected through our minimal incision technique and regenerative medical therapy. There are many orthopedic surgeons out there that are lurking around our neighborhood and they are animals that will destroy you. Stay away from these group of individuals that profess to be experts in foot and ankle surgery. They are not board-certified in foot and ankle surgery by anyone.
